
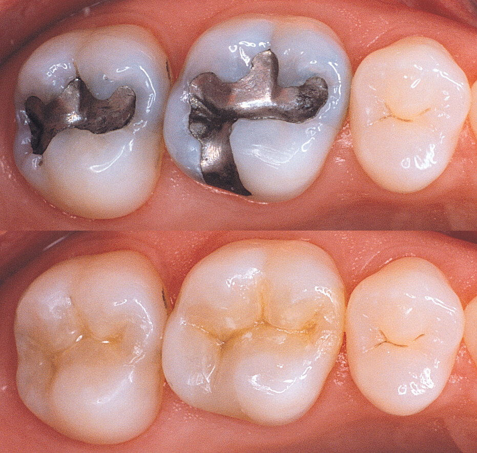
Dental Filling is a treatment modality to restore missing tooth structure which could have been a result of decay or trauma. Decay makes tooth hollow. Dental Filling helps to fill this gap and protect it from further decay. A filling is also used to repair broken or cracked tooth and the teeth which wear off due to dental habits like teeth grinding, nail biting etc.
The different type of fillings available are:


